文|丁香医生
怀孕预示着新生命的降临,令人欣喜。
遗憾的是,并非所有人都能为孕育一个生命做好心理与物质上的准备。因此,尽快确认怀孕的事实,让过去的人们伤透了脑筋。
民间流传着通过动物验孕的办法,比如利用兔子。
通过兔子验孕,需要解剖才能检查卵巢,因此每年有大量的兔子因此牺牲。
在第一根验孕棒发明之前,过去的人们是否有一个准确、快速、便捷的验孕方式呢?

遥远的非洲大陆,传来一阵蛙声——
有。
爪蟾验孕,「准」过医生
1927 年,一位名为霍格本的英国科学家移居到南非,在这里遇到了他的「一生之友」:
非洲爪蟾
Xenopus laevis
这种生物数量丰富,且在实验中操作便捷,因此深得霍格本的喜爱。
通过往非洲爪蟾体内注射多种激素,霍格本研究了一系列与激素相关的问题。
三年后的一个普通的日子,当霍格本把牛垂体(大脑中分泌激素的组织)的提取物注入非洲爪蟾体内时,发现一个意想不到的现象——
没有经过交配的
爪蟾开始产卵了
那时,科学家已经了解孕妇尿液中,含有可以影响卵巢发育的激素。
因此他们设想,如果把尿液注射入非洲爪蟾体内,而且相应的激素可以刺激非洲爪蟾产卵,那么就可以通过这种方式进行验孕。
非洲爪蟾的命运,也由此被改写。
在试验中,他们发现当把孕妇的尿液注射入非洲爪蟾体内,它们会开始产卵;而作为对照组的爪蟾,不会自行产卵,除非处在交配的状态中。
用爪蟾验孕,这种听起来略显离谱的验孕方式,是否可靠呢?
研究者对 150 只非洲爪蟾进行了注射,结果发现没有出现一例假阳性结果,而漏报的情况也只有 3 例。
也就是说,利用爪蟾验孕的准确度很高。甚至当经验丰富的妇科专家与爪蟾同时判断时,非洲爪蟾更胜一筹。
此后,爪蟾凭着获取便利、操作便捷、准确率高的「验孕技能」,走出了非洲。20 世纪 40~60 年代,数以万计的爪蟾去向世界,被用于人类的验孕活动。
直到后来科学家研究出可以直接检测的方法,爪蟾的验孕「职业生涯」才落下帷幕。
放大 20倍的非洲爪蟾的胚胎
▽

图片来源:参考论文
蛙生成就:从非洲,到太空
霍格本安静地做着开创性的工作,随后他把部分非洲爪蟾带回英国,与其他同事共同合作。
当验孕逐渐离开爪蟾的生活,科学家又在爪蟾身上发现新的可能性。
它从非洲大陆上自由的爪蟾,变成了实验中的「模式生物」。
模式生物是科学研究选定的物种,主要用来研究生命现象,从而揭示生命中的普遍规律。
爪蟾利于养殖、花费低廉,一次可产数百个胚胎,而个体较大的卵子和胚胎,又很容易进行显微操作......
因此,它当仁不让地成为「模式生物」的首选之一。
除了可以在实验胚胎学研究中提供便利,20 世纪 70 年代中期,斯坦福大学的科恩,将非洲爪蟾核糖体蛋白基因,与质粒重组后导入大肠杆菌细胞中进行了表达。
基因工程在 1973 年正式问世,但之前仅在原核生物中被证明可行,科恩的实验将真核生物的基因转移到原核细胞,并且实现功能的表达,这一结果大大冲击了人们对于生物种间界限的传统认识。
在研究大脑运行和疾病机理方面,选择适合的动物模型至关重要,而非洲爪蟾作为经典的脊椎动物模型,在研究神经环路构建、功能和神经疾病的分子机制中具备一定优势。
然而,人类对爪蟾在内的蛙类研究,已不仅局限于地球。
从 1959 年起,人类尝试将各种蛙类送入太空,例如带爪蟾进行太空旅行,从而研究胚胎在微重力环境中的发育情况。
自此,爪蟾实现了走出非洲,走向世界,飞上宇宙,走向「蛙生」巅峰。
目前,非洲爪蟾已经在发育生物学、细胞生物学、功能基因组学等方向发光发热。
对于细胞全能性的研究,也将非洲爪蟾推向世人瞩目的焦点。
全能性是单个细胞在特定条件下,具备发育成完整个体的潜能。比如,受精卵具备就全能性,而随着细胞发育,全能性开始下降,但部分仍然保留。
科学家曾在植物和较低等动物上证实过这种细胞特性,但较高等动物是否也具备,一直众说纷纭。
直到 1962 年,英国发育生物学家约翰·波特兰·格登爵士( Sir John Bertrand Gurdon )使用非洲爪蟾,首次证明两栖动物分化细胞仍保留全能性。
在爪蟾的「全力配合」下,约翰·波特兰·格登爵士荣获 2012 年的诺贝尔生理学或医学奖。
全球两栖动物数量与种类出现「神秘」下降......
不过当非洲爪蟾进入科学的荣誉殿堂时,一些围绕两栖动物意想不到的事情发生了。
根据不同大洲的报告,全球的两栖类,无论是种类还是数量都出现急剧下降的现象。
在查找衰退的原因时,除了环境破坏、气候恶化、污染严重等,一种蛙类「壶菌病」引起研究者的注意。
两栖壶菌的全球分布
▽

图片来源:参考论文
壶菌生活在水和潮湿土壤里,在多种无脊椎动物中寄生,在脊椎动物中只感染两栖类。
两栖动物皮肤上的角蛋白是壶菌的营养来源。当感染两栖类后,壶菌会分布在爪蟾角质化皮肤上。
壶菌杀死的黄腿山蛙
▽

图片来源:参考论文
当研究人员从澳大利亚和美洲取来馆藏的两栖类标本,对衰退前的样本进行组织学检测时,发现标本中并没有壶菌感染的状况。
这意味着壶菌是近年来才在大陆上出现的,并非一直有之。
研究者推测,最初在这两个地方,两栖类没有接触这种壶菌病,可能是引入后导致的结果。
种种迹象,都指向了有毒病原菌,通过了群体传播,到达了澳洲与美洲。
除了上述两地,研究者还对在非洲收集的近 700 件两栖类的馆藏标本进行检测,发现最早的一例在 1938 年的非洲爪蟾,患有壶菌病。
也就是说,当其它地方出现这种壶菌病例时,非洲地区已经出现二十多年了,说明这是当地稳定的地方性传染病。
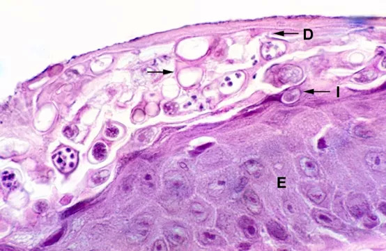
树蛙的皮肤切片显示严重的壶菌感染
I:发育不成熟的游动孢子
D:含有游动孢子的成熟游动孢子囊。
箭头:游动孢子排出后,空的游动孢子囊。E:表皮
▽

图片来源:参考论文
一切回到 20 世纪 30 年代,伴随着非洲爪蟾使用场景的丰富,围绕它的国际贸易也日趋兴盛。
随着人类的介入,非洲爪蟾「背井离乡」。与之有关的壶菌,也可能搭上了全球化的列车,殃及其他几个大洲的两栖动物。
虽然非洲爪蟾自己可以在这些感染中幸免,但生活在其它地方的两栖类或许没有这么幸运。
当然,这种巧合可能只是引发两栖类动物浩劫的原因之一,但无论如何,人类应该从中吸取教训。
今天是 4 月 24 日,世界实验动物日。
以非洲爪蟾为例,包括其它小鼠、兔子等动物,都曾经为科学献身。
它们无法表达,更不能选择,但值得我们予以善待。
正是它们无声的付出,才有人类科学事业的蒸蒸日上。
善待、尊重对方,就是保护自己的未来。
作者 冯智
策划 洋葱
责编feidi

撰稿专家 冯智
清华大学生物学博士在读
科普作家,著有《5分钟生物课》

科学审核 陈安静
四川大学华西医院高端人才助理实验师
四川大学生物治疗国家重点实验室硕士
参考文献
1. J B Gurdon, N Hopwood. The introduction of Xenopus laevis into developmental biology: Of empire, pregnancy testing and ribosomal genes[J]. The International Journal of Developmental Biology, 2000, 44(1):43-50.
2. G. J. Measey, D. Rdder, S. L. Green,等. Ongoing invasions of the African clawed frog, Xenopus laevis: a global review[J]. Biological Invasions, 2012, 14(11):p.2255-2270.
3.Lance van Sittert, G John Measey. Historical perspectives on global exports and research of African clawed frogs (Xenopus laevis)[J]. Transactions of the Royal Society of South Africa, 2016, 71(2):157-166.
4. 环科. 非洲爪蟾曾被当成“验孕棒”[J]. 科学大观园, 2017(16):34-36.
5. 郭晓强, 高英杰, 贡树基. 从核移植到核转录因子转移:动物细胞全能性的发现——2012年诺贝尔生理学或医学奖成果简介[J]. 生物学教学, 2013, 38(3):2-4.
6. 毛炳宇. 非洲爪蟾:模式生物里的青蛙王子[J]. 生命世界, 2008(05):62-65.
7. Jamie Voyles, Sam Young, Lee Berger. Pathogenesis of Chytridiomycosis, a Cause of Catastrophic Amphibian Declines[J]. Science, 326.
8. Kerry M. Kriger, Jean-Marc Hero. Chytridiomycosis, Amphibian Extinctions, and Lessons for the Prevention of Future Panzootics[J]. EcoHealth, 2009, 6(1):6-10.
9. Carvalho T , Becker C G , Toledo, Luís Felipe. Historical amphibian declines and extinctions in Brazil linked to chytridiomycosis[J]. Proceedings of the Royal Society B Biological Sciences, 2017, 284(1848):20162254.
10. Berger L,Speare R,Daszak P,Green D E,Cunningham A A,Goggin C L,Slocombe R,Ragan M A,Hyatt A D,McDonald K R,Hines H B,Lips K R,Marantelli G,Parkes H. Chytridiomycosis causes amphibian mortality associated with population declines in the rain forests of Australia and Central America.[J]. Proceedings of the National Academy of Sciences of the United States of America,1998,95(15).
11. Weldon Ché, du Preez Louis H, Hyatt Alex D. Origin of the Amphibian Chytrid Fungus[J]. Emerging Infectious Diseases, 2004, 10(12):2100-2105.
12. Morgan, J. A. T, Vredenburg, V. T, Rachowicz, L. J. Population genetics of the frog-killing fungus Batrachochytrium dendrobatidis[J]. Proceedings of the National Academy of ences, 2007, 104(34):13845-13850.
13. 丁楠季莎, 高娟妹, 洪金炜. 非洲爪蟾在神经系统疾病研究中的应用[J]. 生命科学, 2018, 30(11):71-77.
14. Ron Dirks, Gerrit Bouw, Rick Huizen. Functional Genomics in Xenopus laevis: Towards Transgene-Driven RNA Interference and Cell-Specific Transgene Expression[J]. Current Genomics, 2003, 4(8):699-711.
15.刘红蕾, 聂刘旺. 博耶和科恩重组质粒转化实验所证明的生物学内涵[J]. 生物学通报, 2019(4):7-9.

