“总觉得没症状就不用体检,多年没查,差点把肺癌拖到晚期”“去年就有指标异常,没人提醒就没在意,幸好儿子给买了体检卡”……
近日,五位曾因体检及时发现癌症隐患的市民的经历精准戳中了无数人不重视体检的侥幸心理——而恰恰是一次看似普通的体检,帮他们在癌症早期及时“踩刹车”,成功避开生命危机。
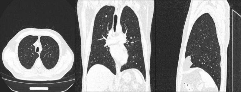
拖延多年未体检一份CT报告及时“拦截”肺癌
“孩子在外地不想让他们担心,以前单位体检要回大连,嫌麻烦就一直没查。”68岁的邱先生在外地工作多年,今年6月12日,他回到大连之后,在大连爱康卓悦体检中心完成搁置已久的体检,CT结果显示“右肺中叶17x15mm磨玻璃结节,边缘有分叶”。
经验丰富的放射科医生立即电话通知本人及家属,发送CT图像与初步报告,还叮嘱家属这是早期肺癌,建议去胸外科会诊微创治疗。后续在体检中心帮助下,邱先生于7月25日在某三甲医院手术,术后病理为微浸润性腺癌,无需化疗。康复后的邱先生逢人便说:“以前觉得体检是麻烦事,现在才懂,它是给健康上的‘保险’。”
甲胎蛋白亮“红灯”竟牵出40年丙肝病史者的肝癌隐患
“40年前得过丙肝,治好后就再没管。”68岁的王先生家住外地,今年7月,生活在大连的儿子为他父亲买了大连爱康卓悦体检中心的体检卡,竟意外查出肝癌。

体检中,王先生甲胎蛋白重度增高,腹部彩超和CT均发现肝内异常病灶。随访医生了解其病史后,反复提醒“这是肝癌重要信号,必须尽快做MR增强检查”。8月5日,王先生在居住地某三甲医院进一步检查确诊肝癌,与体检中心判断一致。之后他又转至大连某三甲医院接受介入治疗,8月19日顺利出院。“要是没这次体检,拖到有症状就晚了。以后全家都来这体检!”王先生的儿媳妇特意到体检中心致谢。
乳腺4A类结节藏风险“有人管的体检”帮她避开癌症危机
“彩超查出右乳多发实性结节,较大的是4A类,我当时腿都软了。”2024年9月,42岁的张女士在大连爱康卓悦体检中心体检后,体检中心总检主任审核报告时,第一时间确认结节风险等级,安排随访医生主动联系她。
随访医生不仅解读“4A类结节有恶性可能,但早治治愈率高”,还帮她对接医院乳腺科专家,预约就诊号。随后,张女士完成手术,病理显示为浸润性导管癌。因发现及时未扩散,无需化疗仅需定期复查。“以前体检‘查完就完了’,这次全程有人跟进,没错过最佳时机。”恢复良好的张女士感慨。
医生微信“督促”查病情肝内病灶早切除免危机
“CT说肝右叶有15.6mm低密度灶,医生当场就找到我讲解。”2024年12月,61岁的李先生在大连爱康卓悦体检中心体检后,放射科医生发现其肝脏低密度灶,立即加了客人微信,“督促”其完善检查。最终MR增强确诊为肝癌。
针对李先生的需求,体检中心又帮他联系了大连某三甲医院,术后病理证实为中分化肝细胞肝癌。“要是没人提醒,我可能会一直拖着,现在恢复得很好,真的特别感谢。”李先生说。
阅片医生“火眼金睛”从多发磨玻璃结节中揪出原位癌
“之前在2家医院、1家体检中心都查出双肺多发磨玻璃结节,没太当回事。”今年6月,刘先生体检时,CT发现左肺上叶囊腔灶外侧缘有5.11mm磨玻璃结节。大连爱康卓悦体检中心的医生当场找到他提醒“这是个类型比较少见的肺癌”。

当月,刘先生去大连某三甲医院胸外科会诊,考虑为早癌,最后病理证实为微浸润性腺癌。“幸好这次医生及时提醒,没让小病灶拖成大问题。”
以国际医疗标准为依托爱康用专业实力筑牢健康防线
现实中,很多人秉持“没症状就不用体检”的侥幸心态,却忽视了一个关键事实:癌症早期大多无明显征兆,一旦身体出现显著不适,往往已错失最佳治疗时机。而五位受访者能在癌症早期及时干预、重获健康,并非偶然,核心源于大连爱康卓悦体检中心的硬核专业实力——其所属的爱康集团,不仅是中国大陆首家通过JCI国际认证的专业体检机构,更在2025年斩获“亚洲医疗大奖(Healthcare Asia Awards 2025)”,备受行业肯定。
截至2025年9月,爱康集团已在全国54个大城市布局173家体检、齿科及医疗中心,同时联动全国200多个城市的800余家医疗机构构建合作网络,年服务用户约1000万人次,其中不乏230家《财富》全球500强在华企业、89家《福布斯》中国前100强企业,服务规模与品质广受信赖。
作为爱康集团旗下的中高端健康服务品牌,爱康卓悦专注提供深度体检、疾病检测、门诊就医等全方位健康管理与医疗保障服务。成立于2019年的大连爱康卓悦体检中心,截至2025年10月,已累计服务1800家企业及16万人次,用扎实的服务履历践行着“早发现、早干预”的健康守护理念。
(免责声明:本文为本网站出于传播商业信息之目的进行转载发布,不代表本网站的观点及立场。本文所涉文、图、音视频等资料之一切权力和法律责任归材料提供方所有和承担。本网站对此咨询文字、图片等所有信息的真实性不作任何保证或承诺,亦不构成任何购买、投资等建议,据此操作者风险自担。)
